
Precyzyjna implantologia z cyfrową diagnostyką i planowaniem oraz znieczuleniem ogólnym. Warszawa Wilanów
Implanty dentystyczne w Naturaldens
Wybierz nowoczesne leczenie implantologiczne
Holistyczne leczenie implantologiczne
Specjalizujemy się w holistycznym leczeniu implantologicznym pełnych, częściowych oraz pojedynczych braków zębowych.
Dzięki nowoczesnym technologiom cyfrowym, zaawansowanej diagnostyce i precyzyjnemu planowaniu umożliwiamy kompleksową odbudowę uzębienia, w tym natychmiastową rekonstrukcję braków zębowych. Stosujemy procedury chirurgiczne o minimalnej inwazyjności, co pozwala znacząco ograniczyć dyskomfort pozabiegowy.
Rekonstrukcje obejmują pojedyncze braki zębowe, mosty oraz pełnołukowe protezy stałe mocowane na implantach. Leczenie może być realizowane również w ramach procedur wykonywanych w ciągu jednego dnia. Implanty zębowe zapewniają komfort jedzenia oraz naturalną estetykę uśmiechu.
Pacjenci doceniają Naturaldens za indywidualne podejście, wykorzystanie najnowszych rozwiązań technologicznych zwiększających precyzję i bezpieczeństwo zabiegów, najwyższej jakości materiały oraz pełną dostępność diagnostyki na miejscu, w tym tomografii komputerowej CBCT.
Plan leczenia, diagnostyka i cyfrowe planowanie
Oferujemy najwyższy standard profesjonalnej, doświadczonej i nowoczesnej opieki stomatologicznej.
Leczymy pacjentów z Polski oraz z innych krajów Europy i świata, między innymi z USA, Niemiec, Korei i Chin.
Specjalizujemy się w realizacji skomplikowanych oraz wysoce estetycznych prac implantoprotetycznych, wykorzystując materiały renomowanych producentów Dentsply Sirona i Straumann oraz współpracując z wyspecjalizowanymi laboratoriami techniki dentystycznej. Zajmujemy się leczeniem bezzębia, wykonując kompleksowe rekonstrukcje uzębienia dopasowane do indywidualnych warunków anatomicznych, potrzeb pacjenta, estetyki oraz stanu zdrowia. Proces leczenia uwzględnia również odbudowę kości pod implanty oraz rekonstrukcję tkanek miękkich, w tym dziąseł.
Dzięki cyfrowej implantologii możliwe jest wykonanie precyzyjnego skanu jamy ustnej oraz dokładne zaplanowanie położenia implantów dentystycznych, także względem siebie nawzajem. Pozwala to na przygotowanie indywidualnych szablonów chirurgicznych gwarantujących prawidłowe i bezpieczne umieszczenie implantów w kości, a także zaprojektowanie prac protetycznych. Jeszcze przed rozpoczęciem leczenia pacjent otrzymuje wizualizację planowanego efektu końcowego.
Implantologia w narkozie
W Naturaldens® istnieje możliwość przeprowadzenia procedur implantologicznych w narkozie. Pacjent pozostaje w stanie znieczulenia ogólnego, co pozwala zredukować stres oraz dyskomfort związany z zabiegiem do minimum.
Zastosowanie sedacji umożliwia wykonanie szerszego zakresu procedur podczas jednego zabiegu, w tym ekstrakcji zębów oraz implantacji. Ma to szczególne znaczenie w przypadku kompleksowych rekonstrukcji łuków zębowych oraz wykonywania protez stałych osadzanych na implantach.
#ImplantyZębowe #ImplantyStomatologiczne #ImplantyDentystyczne #ProtezyStałe #ProtezaNaImplantach #ProtezaNaZatrzaskach
minimalnie możliwa inwazyjność zabiegu dzięki stosowaniu nowoczesnych procedur chirurgicznych
najwyższa precyzja i bezpieczeństwo, dzięki cyfrowemu planowaniu
optymalny czas realizacji, nawet w ciągu 1 dnia
holistyczna rekonstrukcja z odbudową kości i dziąsła pod implanty
diagnostyka dostępna na miejscu, w tym tomografia komputerowa (CBCT)
najwyższa klasa materiałów i implantów dożywotnia gwarancja producenta na implanty
Wielu pacjentów zastanawia się na czym polega wykonanie zabiegów w ciągu 1 dnia.
Otóż oznacza to, że w ciągu tego czasu zostanie wykonany zarówno zabieg chirurgiczny jak i tymczasowa praca protetyczna (most lub korona) także pacjent opuści gabinet z nowymi zębami. Aby tak się stało potrzebny jest jeszcze bardzo ważny, a wręcz niezbędny, okres przygotowania do tego zabiegu. Im większy problem, z którym zgłosi się pacjent tym więcej czasu potrzeba do przygotowania się do zabiegu.
pojedyncze ubytki
rekonstrukcja pojedynczych zębów
ubytki wielozębowe
rekonstrukcja wielu zębów
bezzębie
rekonstrukcja całkowitego braku zębów
LECZENIE W NATURALDENS
METODY LECZENIA BEZZĘBIA i BRAKÓW ZĘBOWYCH
Zadbaj o swoje zdrowie
Zamiast odkładać ważny zabieg, zapłać za niego później!
Nasz gabinet oferuje usługi kredytowe PayU, które pozwalają rozłożyć płatność na raty 0%.
Zakupy na raty przez Internet to:
Finansowanie zabiegów do 50 000 zł
Raty 0% (RSSO 0%)
Decyzja kredytowa w 7 minut
Umów wizytę już dzisiaj i skorzystaj z rat 0% PayU!
PEŁNOŁUKOWE PRZEBUDOWY W NATURALDENS
Efekty leczenia implantologicznego
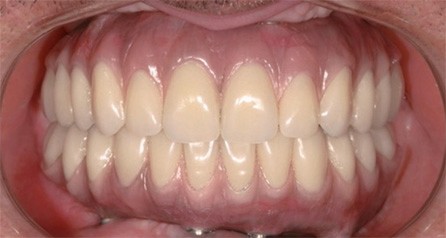
Całkowita przebudowa uzębienia
Pacjent z utraconym uzębieniem w wyniku próchnicy i choroby przyzębia np. paradontozy. W ich wyniku nie tylko utracił zęby i możliwość gryzienia pokarmów, ale przede wszystkim pewność siebie w życiu społecznym w kontaktach z innymi ludźmi, w dużej mierze wycofał się z wcześniejszego życia społecznego oraz, w swoim wyglądzie, postarzał się o kilka lat. Jednym słowem utracił w dużej mierze radość z życia.
Pacjentowi zaproponowano leczenie uzupełnieniem na stałe mocowanym na implantach. Całość zabiegową, tj. wstawienie implantów oraz zamocowaniem uzupełnienia wykonane jednego dnia. Tego typu rozwiązanie jest adresowane do osób zmagających się z bezzębiem (całkowitym czy częściowym), którzy chcieliby cieszyć się pełnią życia i którym stan ich uzębienia powoduje co najmniej dyskomfort.
Pacjent po zabiegu odzyskał pewność siebie w kontaktach międzyludzkich oraz w dużej mierze radość z życia, nie wspominając o pełnej i nieskrępowanej funkcjonalności nowych zębów.
Całkowita przebudowa uzębienia
Pacjent lat 73. Od wielu lat użytkujący ruchomą protezę górną. Pozostałe zęby własne z dużą ruchomością lub silnym zniszczeniem próchnicą w stopniu nie pozwalającym na ich leczenie.
Ze względu na stan swojego uzębienia pacjent czuł ogromny dyskomfort w kontaktach społecznych, miał też duży problem przy gryzieniu pokarmów – było to praktycznie niemożliwe i dlatego był skazany wyłącznie na pokarmy miękkie i płynne.
Pacjentowi zaproponowano kilka możliwości leczenia, z których wybrał uzupełnienie uzupełnienie mocowane na stałe na implantach. Zabieg wykonano wg procedury jednego dnia w wyniku czego pacjent wyszedł po zabiegach z nowymi zębami (cały łuk górny).











